NOTÍCIAS
Internação de Lula: O que é hemorragia intracraniana, que fez Lula ser operado às pressas
* Por André Biernarth
_Lula precisou passar por cirurgia, mas o quadro é considerado estável: _crédito foto: Reuters
Segundo o boletim médico divulgado pelo Hospital Sírio-Libanês, onde o procedimento foi realizado, Lula se queixou de dores de cabeça na noite de segunda-feira (9/12).
Ao passar por uma ressonância magnética em Brasília, os médicos diagnosticaram a hemorragia intracraniana, que está relacionada ao acidente domiciliar que o presidente sofreu há pouco mais de um mês, no dia 19 de outubro.
Segundo as informações divulgadas à época, Lula escorregou no banheiro e bateu a parte de trás da cabeça — nos dias que se seguiram ao ocorrido, era possível notar alguns pontos e um machucado na região da nuca do presidente.
Após o diagnóstico do quadro na segunda-feira de noite, Lula foi transferido para São Paulo, onde passou por uma “craniotomia para drenar o hematoma” (saiba mais sobre o procedimento a seguir). “A cirurgia transcorreu sem intercorrências. No momento, o presidente encontra-se bem, sob monitorização em leito de UTI [Unidade de Terapia Intensiva]”, detalha o boletim médico do Sírio-Libanês.
Ele deve ficar em observação na UTI pelas próximas 48 horas.
“O presidente evoluiu bem, encontra-se estável, conversando normalmente e se alimentando. Ele ficará em observação pelos próximos dias”, informou Roberto Kalil, médico de Lula, em entrevista coletiva realizada na manhã de terça-feira (10/12).
“O presidente não teve qualquer sequela”, assegurou ele.
Segundo Kalil, Lula será acompanhado e, se evoluir bem, deve retornar a Brasília no começo da próxima semana.
Entenda a seguir o que é uma hemorragia intracraniana e como profissionais de saúde costumam lidar com casos do tipo.
O que é hemorragia intracraniana
Como o próprio nome sugere, a hemorragia intracraniana é marcada por um sangramento que ocorre na parte de dentro do crânio.
“Trata-se de um sangramento dentro da caixa craniana, o osso da cabeça”, resume a neurologista Sheila Martins, professora da Faculdade de Medicina da Universidade Federal do Rio Grande do Sul (UFRGS).
Isso pode se desenrolar em algumas das estruturas que estão abaixo dos ossos da cabeça, como o cérebro ou as camadas que revestem as estruturas do sistema nervoso — conhecidas como meninges.
Um artigo assinado por especialistas do Centro Médico da Universidade do Nebraska, nos Estados Unidos, dividem esse quadro em quatro subtipos, de acordo com o local em que ele acontece.
Segundo eles, a hemorragia pode ser epidural (entre o crânio e a dura mater, uma das membranas protetoras do sistema nervoso), subdural (abaixo da dura mater), subaracnoide (abaixo da membrana aracnoide) e intraparenquimal (nas próprias estruturas do cérebro).
O caso de Lula foi uma hemorragia subdural.
“O sangramento estava entre o cérebro e a meninge, embaixo de uma membrana chamada dura mater”, detalhou o neurocirurgião Marcos Stavale, que esteve envolvido com o procedimento.
“Esse sangramento comprimia o cérebro e foi removido. O presidente está com as funções neurológicas preservadas”, complementou o especialista.
Nesse caso, o acúmulo de sangue acontece na superfície do cérebro, no espaço que existe entre o órgão e aquelas camadas que protegem o sistema nervoso.
Segundo o texto da Universidade do Nebraska, casos de hemorragia intracraniana exigem “avaliação neurocirúrgica imediata”, algo que aconteceu com o presidente brasileiro.
Já a Clínica Mayo, instituição de referências em pesquisa de saúde dos EUA, destaca que a hemorragia intracriana é marcada “por um acúmulo de sangue no crânio” e isso pode gerar uma espécie de pressão no cérebro.
“As causas mais comuns são rompimentos de vasos sanguíneos, mas o quadro também pode ser causado por pancadas na cabeça após quedas ou acidentes automobilísticos”, informa o texto.
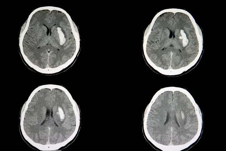
_Exames de imagem ajudam a diagnosticar a hemorragia intracriana e a extensão da lesão no cérebro. _Crédito,Getty Images

